通过对穴位部位进行多方面的解剖学和组织学观察,有学者提出穴位是由神经、血管、淋巴、肌肉、肌腱等多种组织构成的一个多层次 “立体构筑”;与非穴位处相比,在这些组织的配布上存在着某些方面的相对特异性。
一、穴位的大体解剖结构
(1)穴位与周围神经的关系
众多研究表明,穴位与周围神经的关系甚为密切。
|
原上海第一医学院 |
徐州医学院 |
上海中医药大学 |
穴位与非穴位 |
|
十二经324个穴位中,323个穴位(占99.6%)均与周围神经有关。 |
全身361个穴位中,靠近神经主干者205穴(占56.8%),靠近皮神经主干者104穴,靠近深部神经主干者122穴。 |
十二经309个穴位解剖观察表明,针刺进穴位后,直接刺中神经干者152穴(占49.19%),针旁0.5cm内有神经干者157穴 (占50.81%),说明十二经穴与周围神经有密切关系。 |
非穴位区神经干分支较少。穴位大多数是位于神经干或神经周围,大部分穴位都有细小神经分支通过。 |
(2)穴位与血管的关系
穴位与血管的关系也很密切,仅次于周围神经。
|
学校 |
靠近动脉主干 |
浅静脉干 |
|
徐州医学院 |
58/361(16.1%) |
81/361(24.7%) |
(3)穴位与肌肉、肌腱的关系
穴位的断层解剖发现,穴位处肌肉、筋膜较肥厚且集中。
|
穴位与肌肉反应点 |
穴位与肌肉、肌腱的关系 |
|
人体55%穴位正位于肌肉群上,肌肉外包裹着深、浅筋膜,针刺必须穿过筋膜到肌肉组织中,因而有人提出穴位即肌肉反应点。 |
占经穴总数62.5%的穴位在肌肉分界处有神经干支进入的部位,符合古人认为“经脉伏行于分肉之间”的观点,还有37.5%的穴位则多位于肌肉、肌腱之中或其起止点上。 |
二、穴位的组织学结构
(1)穴位与神经末梢的关系
|
上海中医研究所形态组 |
研究了足三里等35个穴位的组织结构,在蓝点标记的中心1.5mm范围内有神经束和血管分布。 |
|
林文注等 |
研究了偏历等13个穴位的30个针感点。在这些针感组织中,一般可见到大小数量不等的小血管、小神经束、神经末梢和神经干、支。 |
|
潘朝庞和赵霭峰(1986) |
在14个穴位的44个针感点的1.8mm范围内,观察到神经终末支和血管壁神经组织分布为100%,以游离神经末梢为主(占54%),肌棱占37%。 |
|
松本薰 |
合谷穴的神经纤维束主要分布在表皮下0.6~0.7mm深的真皮及皮下组织的浅层,肌层相对较少。神经纤维的直径在30~100μm之间,以细纤维为主体。而手三里和足三里穴的神经纤维主要分布在皮下组织及肌层中,其直径为40~150μm。不过作者本人并不认为穴位组织与非穴位的神经纤维分布有明显的不同之处。 |
|
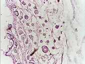
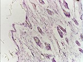
《神经末稍与经络的关系》文琛著 |
大鼠环跳穴皮下组织铺片,胆碱酯酶反应,在脂肪细胞下方有细神经纤维,箭头示脂肪细胞下方有细神经纤维
新明穴皮下组织铺片,胆碱酯酶反应,方框内脂肪细胞与细神经紧邻 |
|
中国中医科学院针灸所晋志高研究组提供 |
改良银染色法显示表皮中神经纤维的数目:改良银染色法可以观察到,在表皮中,神经纤维的数目也以足底部无毛处穴区最多,背腹部次之,上下肢再次之。
不同穴位的毛发分布:不同部位毛发的分布及表皮的厚度是有差异的。
不同穴位的胶原纤维分布:Masson染色法中可以看出,不同穴位胶原纤维的分布有明显的不同,以足底部最多。
不同穴区间表皮的神经感受装置有明显的差异性,神经末梢的分布以足底最多,背、腹、上下肢次之;同一穴区针刺后CX43表达增强。 |
(2)穴位与交感神经节后纤维的关系
由于无所不在的血管也分布于穴位组织中,因此交感神经的节后纤维也是构成穴位的组织结构之一。
|
Rabischong和Coabt(参考王本显等) |
文琛等 |
|
根据对动物和人类经穴部位的组织学研究表明,真皮内有螺旋状的血管网,在血管网的周围分布着无髓胆碱能神经纤维,它们相互交织成网状。 |
用组织化学方法,观察了人及动物某些经穴部位的小血管壁,在这些小动脉树周围有肾上腺素能神经和胆碱能神经形成的动脉周丛和毛细血管前动脉旁丛。实验证明,这两种末梢都是交感神经节的节后纤维,有控制外周循环总阻力和局部组织血流的作用。 |
1
2
>
>>
>>|
针灸临床内容来源:网络整理,仅供研究参考,如需针灸,请到正规中医院!










